home  戻る

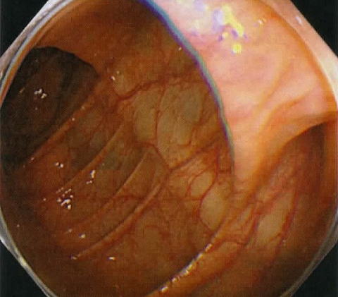
大腸カメラ
下部内視鏡検査
(2025/11/21)
大腸憩室症 軽度
部位 S状結腸






























以下は知人の
大腸ポリーブ切除施術
1996/09/17事前検査
1996/10/01切除施術

事前検査
キノコ状の突起がある


切除施術
腹腔鏡下手術

home  戻る


EOF